Aparelho Transparente em salvador-ba
Sim! Com toda a minha experiência e conhecimento trabalhando com a melhor tecnologia, consigo transformar desde os casos mais simples até os mais complexos com alinhadores Invisalign.

Diastema

Mordida cruzada

Mordida aberta

Prognatismo

Apinhamento

Mordida profunda
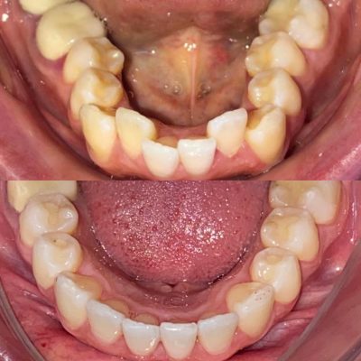
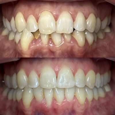
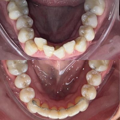
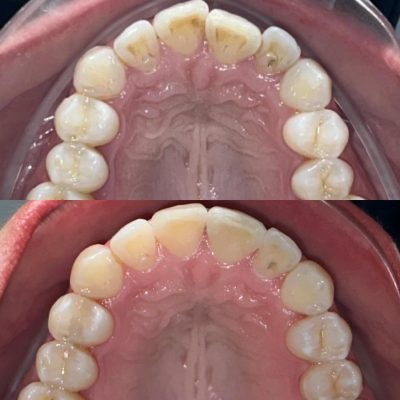
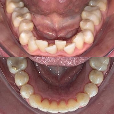
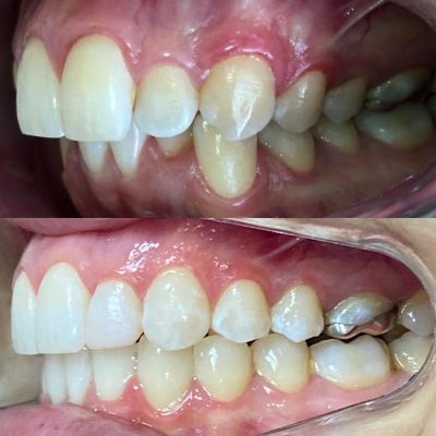
Veja o antes e depois de algumas delas








Serão necessárias apenas 3 etapas simples que vão te deixar com
o sorriso que você merece em menos tempo do que você imagina
Na avaliação vamos usar o scanner iTero Element®, com ele eu vou digitalizar o seu sorriso em 3D de forma rápida e precisa.
Fazendo um mapeamento do seu tratamento personalizado e exclusivo para você.
Este é um momento chave no sucesso do seu tratamento.
Vou planejar com o máximo de conhecimento para que seus dentes se alinhem perfeitamente!
Assim que os seus alinhadores chegarem, vamos instalar e você vai poder continuar com a sua rotina normalmente.
Você irá transformar seu sorriso com o sistema de alinhadores mais avançado do mundo!
Olá, sou o Dr. Marcelo Fontes, um apaixonado pela arte da ortodontia digital. Com uma carreira que se estende por anos de dedicação e comprometimento, tenho a honra de ter transformado mais de 15 mil sorrisos ao longo da minha jornada profissional.
Minha busca incessante pela excelência me levou a conquistar o prestigioso título de “Top Doctor Emerald” e o incrível reconhecimento “Diamond 8x”. Essas distinções refletem meu compromisso inabalável com a qualidade, a inovação e a satisfação dos meus pacientes.
Olá, sou o Dr. Marcelo Fontes, um apaixonado pela arte da ortodontia digital. Com uma carreira que se estende por anos de dedicação e comprometimento, tenho a honra de ter transformado mais de 15 mil sorrisos ao longo da minha jornada profissional.
Minha busca incessante pela excelência me levou a conquistar o prestigioso título de “Top Doctor Emerald” e o incrível reconhecimento “Diamond 8x”. Essas distinções refletem meu compromisso inabalável com a qualidade, a inovação e a satisfação dos meus pacientes.
Os valores dependem muito de cada caso, a sua necessidade, o tipo de correção que será feita, a complexidade e a duração do tratamento que vai determinar a quantidade de plaquinhas que você vai utilizar para deixar seu sorriso perfeito.
Hoje na Invisalign temos 4 categorias, precisamos ver em qual categoria seu caso se encaixa, por isso preciso escanear digitalmente seu sorriso para te informar o melhor valor para o seu tratamento Invisalign.
Me mande uma mensagem que vamos marcar sua avaliação para que eu possa entender o que te incomoda no seu sorriso.
Você começará a ver os resultados em poucas semanas utilizando seus alinhadores.
O tempo total de tratamento dependerá da complexidade do seu caso, algumas pessoas vão precisar de mais plaquinhas alinhadoras que outras.
Os tratamentos duram em média 6-8 meses.
De 18 a 22 horas por dia, você retira para comer e higienizar.
É uma sequência de placas transparentes, que devem ser utilizadas na sequência correta. A sequência é determinada pelo meu planejamento digital personalizado, que é uma simulação 3D das movimentações desejadas.
Nada mais é que um sequenciamento me movimentos, cada alinhador empurra um pouco o dente para o sentido que ele deve ir para transformar o seu sorriso.
O meu protocolo de tratamento é muito preciso, por que todos os movimentos são simulados antes mesmo da fabricação dos seus alinhadores.
Em primeiro lugar é importante destacar que todas as bebidas podem ser ingeridas, desde que você retire os alinhadores Invisalign. Mas não se esqueça de fazer a higienização bucal após as refeições!
Sim! Você pode comer qualquer alimento, só precisa remover os alinhadores Invisalign.
Sim! Com muita segurança.
Depois que fizermos o seu escaneamento digital 3D na primeira consulta, Todo meu planejamento será feito personalizado para você, fazendo com que movimentemos todos os outros dentes ao redor do seu implante.
Não existe movimentação dentária sem dor, você irá sentir uma pressão moderada nos dentes para se movimentarem, mas posso te garantir que o desconforto será extremamente menor que qualquer aparelho convencional e fixos.
Pelo fato das forças serem menores, mais precisas e mais controladas.
Não, vamos fazer um acompanhamento a cada 2-3 meses em média para avaliar a evolução do se tratamento.
Com base no meu protocolo para o seu tratamento, você irá receber uma série de alinhadores personalizados fabricados exclusivamente para você, desde o primeiro até o último par de alinhador.
Cada alinhador é usado por cerca de uma ou duas semanas, você faz as trocas em casa de forma muito simples e rápida.
Desde crianças, com dentes de leite ainda, até idosos.
Sim. Isso garante a estabilização da sua arcada dentária, evitando o retorno do mau posicionamento dos seus dentes. O tempo de uso varia de caso a caso.
Utilizamos o modelo de contenções transparentes (Vivera), feitas com tecnologia semelhante a dos alinhadores.
Empresarial Joventino Silva – Av. Antônio Carlos Magalhães, 811 – sala 1103 – Itaigara, Salvador – BA